Estudio inicial y evolución durante 3 años
Masa mediastínica anterior hallada en el contexto de dolor torácico.
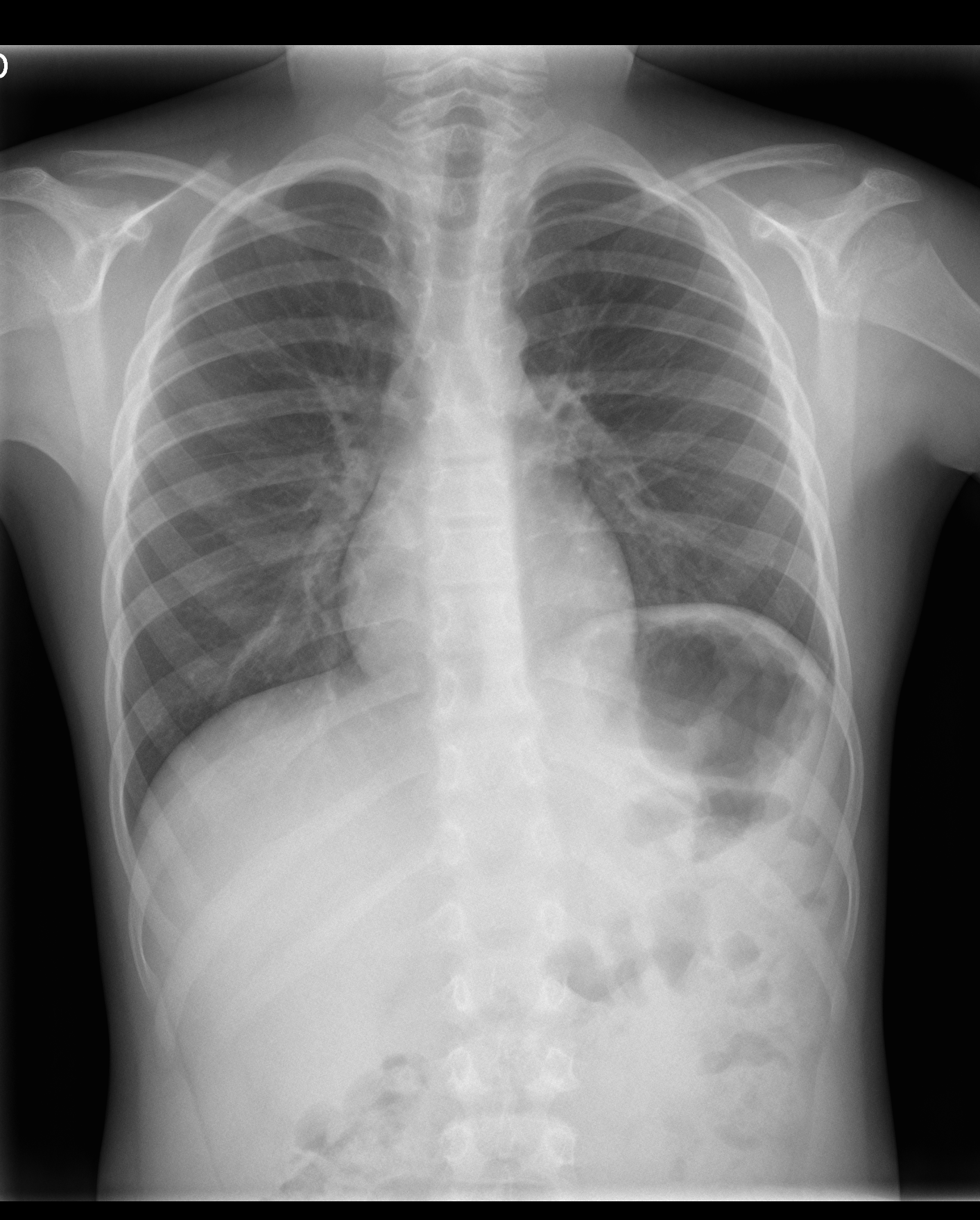
Debut:

Rx Simple AP: Masa mediastínica anterior izquierda.
Leve atelectasia en língula. Elevación del hemidiafragma izquierdo


CT: Masa mediastínica anterior izquierda.


IRM: Masa medistinica anterior. Adenopatias

Estudio ecográfico previo a la biopsia preoperatoria dirigida por US.
Control post-tratamiento a los 3 años
